
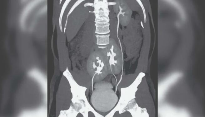
Una gran sorpresa fue la que se llevó un hombre de Brasil tras acudir al hospital por un fuerte dolor de espalda. Y es que una tomografía terminó revelando que lo que sucedía era que tenía tres riñones en su abdomen. El impresionante hallazgo fue difundido por The New England Journal of Medicine.
Los doctores del hospital do Rim, ubicado en San Pablo, explicaron que en un inicio creyeron que la molestia del sujeto de 38 años se debía a una hernia de disco, pero al hacer una revisión pudieron ver que tenía tres riñones: uno izquierdo, de apariencia normal, y dos fusionados.
Renato Foresto, uno de los médicos que realizó el descubrimiento y el posterior informe para la revista científica, expresó lo que sintió al ver la tomografía: “Nunca habíamos visto algo así. Fue una sorpresa, seguida de la preocupación de que hubiera algo mal con la salud del paciente”.
Sin embargo, señala que este tipo de anomalías pueden ser frecuentes y en muchas ocasiones no tienen consecuencias graves para la salud de las personas que la padecen.
De hecho, el paciente se mostró sin ninguna anomalía con respecto a lo fisiológico y se dio a conocer que lo que le provocaba era el dolor era, en efecto, una hernia que fue tratada posteriormente.

Los doctores explicaron que un riñón “supernumerario” es tan infrecuente que se documentaron apenas unos 100 casos en el último siglo y medio de literatura médica. Por otra parte, es probable que exista mucha más gente con esta anomalía, pero como no provoca ningún síntoma, es posible que estas personas no sepan de su condición.
VIDEO RECOMENDADO









