
Valentina de 8 años salió de alta y se reencontró con sus padres, luego de que cirujanos pediatras del Hospital Nacional Edgardo Rebagliati de EsSalud le extirparon un tumor de casi 1 kilo en el ovario derecho, en una exitosa intervención quirúrgica que se realizó en medio de la segunda ola del COVID-19.
Soledad, madre de Valentina, contó que detectó algo raro en su hija tras observarla detalladamente; visualizó que su abdomen estaba un poco abultado impidiéndole respirar en forma adecuada y realizar sus actividades cotidianas.
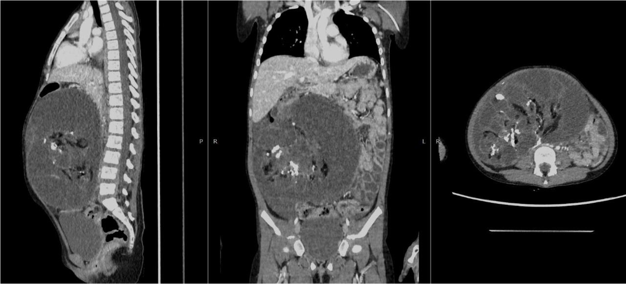
“El tumor ocupaba parte de su abdomen y se estaba desplazando a otros órganos que impedían su normal funcionamiento”, detalló Soledad entre lágrimas al recordar el estado en el que se encontraba su pequeña.

De Pucallpa a Lima
La menor fue atendida primero en el hospital EsSalud de Pucallpa, donde se le realizó algunos exámenes que determinaron que se trataba de un tumor ovárico que iba creciendo; sin embargo, por la complejidad del caso derivaron a la pequeña paciente al hospital Rebagliati de Lima.
La doctora María Catalina Cabello Arce, jefa del Servicio de Cirugía General Pediátrica, señaló que a la menor se le realizó exámenes complementarios, convocando de inmediato a una Junta Médica con el equipo de especialistas liderado por el Servicio de Cirugía General, junto a oncólogos, anestesiólogos, cirujanos y cardiólogos, quienes evaluaron el caso.
“La operación, que duró casi una hora, se dio el pasado 5 de abril; después de ello estuvo en UCI algunos días y tras una evolución favorable se reencontró con sus padres y se fue a casa este 9 de abril”, indicó la especialista.
El encuentro de Valentina con sus padres fue emotivo y no dudaron en agradecer a todo el equipo del hospital Rebagliati, médicos, enfermeras, técnicos, nutricionistas, entre otros, que hicieron posible la recuperación de su hija.
VIDEO RECOMENDADO









